あなたの笑顔を守る
信頼の歯医者
葛飾区立石の歯医者|立石さとう歯科診療室
〒124-0012 東京都葛飾区立石1丁目8−19
京成線「京成立石駅」から徒歩4分|土日も診療
-
年齢問わず
通える歯医者 -
土日診療
-
キッズスペース
完備 -
丁寧な
治療説明
Information
葛飾区立石で丁寧・親身な対応の
歯医者をお探しの方は、
土日診療も行っている
立石さとう歯科診療室へ。
葛飾区立石の歯医者|立石さとう歯科診療室
| 診療時間 | 月 | 火 | 水 | 木 | 金 | 土 | 日 |
|---|---|---|---|---|---|---|---|
| 9:00-18:30 | ● | ● | ━ | ● | ● | □ | △ |
【□】9:00-17:30
【△】9:00-13:00
【休診日】 水曜、祝日
Policy
患者さまが安心して治療を受け
笑顔で通える
歯科医院を目指して
立石さとう歯科診療室は地域の皆さまの支えになるような歯科医院になるよう、どんなお口の悩みもお聞きし「安心」に変えられる医院作りに努めてまいります。患者さまへの説明を徹底し最新設備の導入、知識・技術の研鑽に努め清潔感のある通いやすい環境作りをしてお待ちしております。
Features
立石さとう歯科診療室の
6つの特徴
-

01
土日も診療。
駅近の歯医者さん当院は「京成立石」駅前から徒歩4分、土日も診療をしていますので、平日が忙しい方や学生さん、ビジネスパーソンにもおすすめの歯科医院です。
-

02
完全バリアフリー/
キッズスペース当院は完全バリアフリー設計となっており、ベビーカー・車椅子での来院もしていただきやすい入り口やスペースを確保しております。
-

03
わかりやすい丁寧な説明
「これからどんな治療をするのだろう…」そうした不安を解消できるよう、カウンセリングや説明のお時間をしっかりと確保し、ご理解とご納得をいただきながら治療を進めてまいります。
-

04
痛みの少ない優しい治療
麻酔を行うときには表面麻酔や超極細の針、電動麻酔器などを使用し、痛みやストレスの少ない治療に努めます。
-

05
先進の医療機器を完備/
衛生管理の徹底CT・セファロ診断装置をはじめ高度医療機器を完備し、患者さまの症状や治療内容に応じて、より精密な診査・診断のもと適切な治療をご提供することが可能です。
-

06
「予防」をサポートし、
生涯のお口の健康へ当院では歯を削る量を最小限にする低侵襲な治療に努め、将来的なお口の健康も見据えた“予防型の歯科”を推進しております。
ご予約・ご相談はお気軽に!
当日急患受付中!
※お電話にてご連絡ください
お口の健康に関するご相談やご予約のご質問、お気軽にお問い合わせください。
Greeting
ドクターよりご挨拶
患者さまに安心してご来院・治療を受けていただけるよう、できる限り痛みのない歯科治療を心がけております。
京成立石駅から徒歩4分の好立地で、平日・土日も診療しております。
お口のことでお困りやお悩みがございましたら、お気軽にご相談ください。
患者さまのお気持ちを考え、
少しでもそのお気持ちに寄り添った治療を
患者さまのお気持ちを考え、
少しでもそのお気持ちに
寄り添った治療を
こんにちは、院長の佐藤博紀です。
私が生まれ、育ち、また今も家族と共に住む町・立石。大好きなこの町で開業し、歯科医療で地域に貢献できることを心より嬉しく思います。
立石さとう歯科診療室は、患者さまが安心して治療を受け、笑顔で通っていただけるような歯科医院を目指します。
歯科医療を通して、『好きなものを美味しく食べられる』『歯をみせて思いきり笑い合える』患者さまがそんな幸せな毎日を過ごせるお手伝いができればと考えております。
お口の健康について何か気になることがございましたら、ぜひご相談ください。
立石さとう歯科診療室院長 佐藤 博紀
Treatment
立石さとう歯科診療室の
診療メニュー
葛飾区立石エリアで幅広い歯科治療に対応できる歯医者をお探しですか?
急な痛み、取れた腫れたなどの急患対応から、重度歯周病のような外科処置が必要な診療まで、
全ての歯科治療で高い技術力を提供する葛飾区立石エリアの歯医者です。
-
PICK
UPお口のトラブルを未然に防ぐ 予防歯科
日頃の適切なホームケアとあわせて、プロによる定期的な検診とメインテナンスを受けることで、歯の健康維持と全身の健康増進へとつなげていきます。
-
PICK
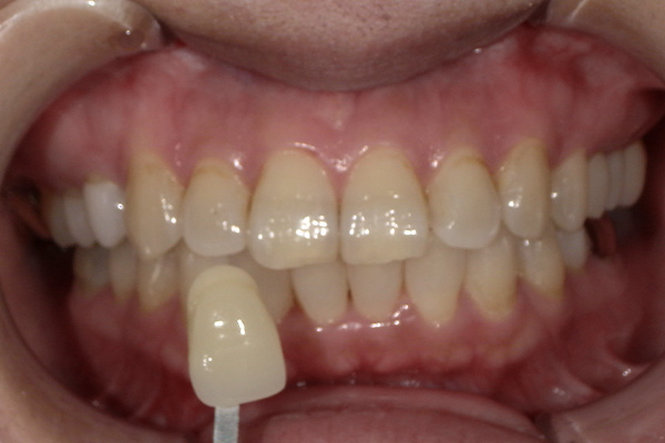
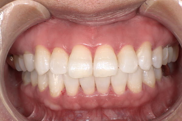
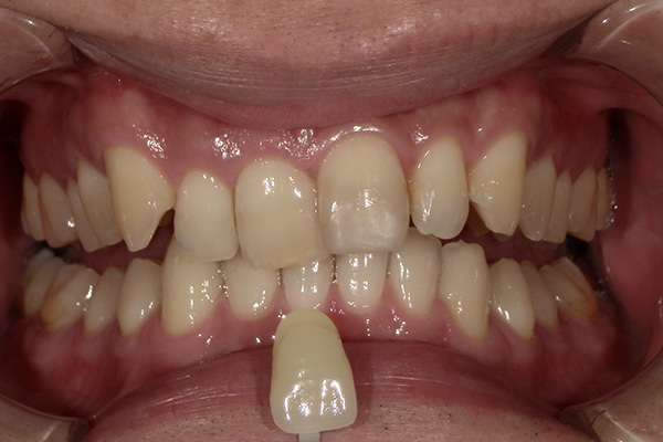
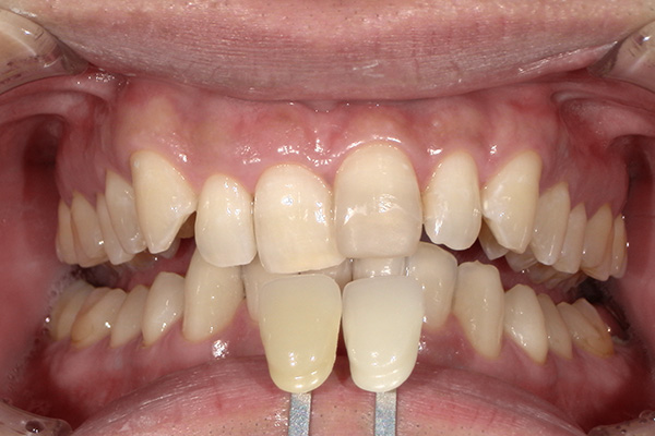
UP口元の印象を、もっと自然で美しく 審美歯科
歯の色や形、笑ったときの見え方まで考えた審美歯科治療を行っています。「白くしたい」「見た目も大切にしたい」そんな方は、ぜひご相談ください。
-
PICK
UP矯正専門の歯科医が在籍 矯正歯科
当院には、大学病院の矯正歯科での豊富な勤務経験を持つ「矯正専門の歯科医」も在籍しており、患者さま一人ひとりにオーダーメイドの矯正プランをご提供できます。
-
PICK
UP親子で安心して通える 小児歯科
当院は完全バリアフリー設計の歯科医院です。ベビーカーや車椅子でのご来院もしていただきやすい入り口やスペースを確保しております。
初めて当院を受診される方へ
各種保険取り扱い
初診費用は
おおよそ3,000〜5,000円
保険適用3割負担の場合
また症状・検査内容により多少変動いたします
Case
立石さとう歯科診療室の
症例集
葛飾区立石周辺で幅広い歯科治療に対応できる歯医者をお探しですか?
急な痛み、取れた腫れたなどの急患対応から、インプラント治療などの外科処置が必要な診療まで、
全ての歯科治療で高い技術力を提供する京成立石駅エリアの歯医者です。
Equipments
院内・設備紹介
小さなお子さま連れでも安心のキッズスペース完備で、家族みんなが通いやすい環境を整備。
清潔で広々とした完全個室の診療室で、プライバシーを完全に守りながら、
他の患者様を気にすることなくリラックスして治療を受けていただけます。
葛飾区立石エリアで設備充実に力を入れている歯医者です。
-
01.
-
02.
-
03.
最善の治療を
尽くすための機器
01.オーラルスキャナ
従来のシリコンを使った型取りの不快感をなくし、口腔内をカメラでスキャンするだけで、歯や歯茎を正確に3Dデータ化する最新機器です。
02.歯科用CT
歯や神経、血管の位置などをはっきり映し出せるため、平面的なレントゲンよりも精密な診査・診断を行うことができます。
03.高圧蒸気滅菌器
歯科で使用する様々な器具の滅菌処理に用いる専門機器です。器具を洗浄・消毒してから、1つずつ個別包装にしてオートクレーブ滅菌器による高圧滅菌処理を行います。
-
04.
-
05.
-
06.
治療に集中できる
院内環境
04.キッズスペース
小さなお子さまに楽しく過ごしてもらい、保護者の方にも安心して治療を受けていただけるよう、受付から目の届く位置にキッズコーナーを設けています。
05.診療室
ユニット周りは常に清潔に保ち、医療器具の滅菌対策も徹底しています。完全個室タイプの診療室も完備しております。
06.待合室
初めての患者さまも気軽に来院していただけるよう、広めの窓を設け、明るく透明性を大切にした空間となっております。



















